メンテナンス・定期検診
メンテナンス・定期検診
歯を失うなどのトラブルを予防するためには、継続的なお口のケアを行うことが大切です。名古屋市千種区の歯医者 やまだ歯科吹上院では、将来起こりうるトラブルリスクや、現在の患者様の口腔状態をしっかりとご説明し、ひとりひとりのライフスタイルに合わせたお口の健康づくりをサポートします。
歯科医院で定期的な予防・メンテナンスを受けている人は、歯が痛いときだけ歯科医院を受診する人と比べて、年齢を重ねてからも健康な歯を残せる可能性が高くなります。当院では、患者様に正しいお口のケアをご自宅で実践していただくことに加えて、歯科医院での継続的なプロフェッショナルケアによって歯の健康寿命を延ばします。


エアフローを使用し、細かい粒子を歯の表面に噴射し歯垢や着色汚れなどを除去していきます。歯磨きだけでは落とせないバイオフィルムを取り除き、歯周ポケットの奥に付着した汚れまで綺麗に掃除することで、虫歯や歯周病リスクを軽減できます。クリーニング時に歯の表面のエナメル質を傷つける心配もないため、歯へのダメージを防ぐことが可能です。



名古屋市千種区の歯医者 やまだ歯科吹上院では、虫歯や歯周病のリスクや予防の大切さについて、動画や写真などの資料を用いた視覚的に分かりやすい説明を心がけています。患者様の現在のお口の状態、症状が進行してしまうとどうなるのか、正しい知識をお伝えし、納得していただいた上で予防ケアに取り組んでいただけます。



定期検診を通して、患者様のお口の状態をチェックし、ご自身では気がつかない虫歯の進行や、噛み合わせのズレといった口腔内の変化を把握することができます。前回の検査時との比較を行い、治療後の歯や歯ぐき、骨の状態に異常がないか、お口全体を診ることにより、最適な治療の選択肢をご提案いたします。



ご自宅で歯磨きを行っていても、約2ヶ月経つと歯石が付着し、一度付着した歯石は歯磨きだけでは取り除くことができません。歯科医院でプロフェッショナルケアを受けることで、歯垢や歯石を取り除き、虫歯や歯周病になりにくい口腔環境をつくります。定期検診を通して、少しずつお口の状態が良くなっていくことが実感でき、予防やお口の健康に対するモチベーションアップに繋がります。



「奥歯ばかりが歯周病や虫歯になる」「顎関節症が良くならない」などのお悩みはありませんか?同じ歯の治療を何度も繰り返している場合、歯並びや噛み合わせがお口のトラブルを引き起こしている可能性があります。名古屋市千種区の歯医者 やまだ歯科吹上院では、お口のトラブルの根本原因を探り、患者様の将来の健康まで見据えた治療法をご提案いたします。


お口の状態に合わせたブラッシング方法をお伝えし、磨けている箇所と汚れが残りやすい箇所を染め出し液により目に見える形で確認します。iPadで過去の写真と比較することで、ケアの効果を実感でき、モチベーションアップにも繋がります。

スケーラーという専用の器具を使って、歯ぐきの中の汚れや歯石をしっかりと落としていきます。歯ぐきの炎症や知覚過敏がある方は、痛みやしみる感覚がないか確認しながら処置していきます。

患者さんに合わせた器具・研磨剤を使用してクリーニングしていきます。歯ブラシだけでは落とせないバイオフィルムや着色汚れを落とし、歯垢や歯石の沈着を予防し、清潔な口腔環境を整えます。

定期的にフッ素を塗布することで、歯の質を強化して予防効果を高めます。フッ素塗布はお子さまはもちろん、年齢を重ねるにつれて虫歯リスクが高まっていく大人の方にも効果的です。

虫歯や歯周病のリスクを高める間食の摂り方など、食事の習慣に関する知識や、患者様に合わせた生活習慣のアドバイスで、お口全体に影響を与える、噛み合わせや口腔習癖についてもコントロールしていきます。
定期的に行う検査内容

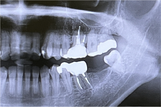
口腔内全体の状態を写すレントゲン、部位ごとの歯周組織や骨の状態まで診断可能なレントゲン検査により、虫歯や歯周病の進行具合、顎の関節の状態を診査します。

口腔内スキャナー「iTero」を用いた検査では、口腔内の変化を一目で把握することができます。視診ではわからない噛み合わせの変化や、被せ物の不適合などを早期に発見することが可能です。

歯周ポケットの深さの測定に加え、歯ぐきの中の歯石の付着まで確認していきます。炎症がある方の場合、プローブを歯ぐきに挿入した際に痛みが出やすいため、お声がけをしながら検査を行います。


お口に合わせた歯ブラシを選択し、歯ブラシの当て方や動かし方、力のかけ方まで丁寧にお伝えします。患者様に合った最適な成分配合の歯磨き粉やフロス、歯間ブラシなどのケアグッズをご提案し、歯ブラシだけでは落とせない汚れまでしっかりとケアしていきます。必要に応じて、噛み締め癖をコントロールできるマウスピースを使用するなど、生活環境に合わせたセルフケア方法を一緒に考え、お口の健康を守っていきます。

歯磨き習慣
・ブラッシング指導

ケアグッズの処方

噛み締め癖
コントロール