歯周病治療
歯周病治療
日本人の成人の約8割が歯周病にかかっていると言われており、進行した歯周病は糖尿病や誤嚥性肺炎などのリスクを高め、健康寿命にも影響を与えます。名古屋市千種区の歯医者 やまだ歯科吹上院では、患者様に歯周病に関する正しい知識と、現在のお口の状態をしっかりと理解していただいた上で、ひとりひとりに合わせた効果的な歯周病ケアをご提案します。




歯周病は痛みなどの自覚症状がなく、知らない間に進行してしまうことがあります。歯周病によって歯を失うリスクや全身疾患への影響について正しい知識をお伝えし、検査の結果を一緒に確認しながら、ご自身の歯周病リスクについて知っていただきます。現在のお口の状態を把握した上で、歯周病治療の内容や健康なお口づくりのために必要なケアについてわかりやすくお伝えします。



名古屋市千種区の歯医者 やまだ歯科吹上院では、患者様のお口の健康を長く維持していくために、歯周病ケアのトレーニングを積んだ歯科衛生士が、ひとりひとりに合わせたお口のサポートを行っています。治療についてわからないことがあれば、お気軽にご相談ください。歯周病のリスクや、予防・メンテナンスの重要性について丁寧にご説明いたします。

染め出し液を使用し、口腔衛生状態を
管理
ブラッシング指導

毎日のセルフケアの質を高めるために、染め出し液により磨き残しをチェックします。より良いお手入れをしていただけるように、患者様に合ったお口のケア方法のアドバイスを行います。
専用の器具で歯石除去
スケーリング・ルートプレーニング

スケーラーという器具により歯の表面に付着した歯垢、歯石を取り除く処置(スケーリング)や、歯ぐきの内部の歯垢や歯石を綺麗にし、歯周ポケットを改善する処置(ルートプレーニング)により、歯周病の原因菌を取り除いていきます。


定期検診や診察の中でお口の健康状態をチェックする検査を行います。毎日のブラッシングやメンテナンスにより、歯ぐきの腫れや歯石の付着状態がどのように変化・改善しているかを写真を見ながら一緒に確認していきます。しっかりとお口のケアに取り組むことで約1〜2ヶ月程でお口の健康の改善を実感することができ、予防へのモチベーションアップにも繋がります。


歯と歯ぐきの間の溝の深さの測定や、溝の内側を触り状態を確認します。歯周ポケットの深さ、歯ぐきの内側の腫れ、出血の有無などにより、歯周病の進行状態をチェックします。

歯を挟んで動かすことで、歯のぐらつきをチェックします。歯が動く範囲や方向を確認し、歯周病の進行を診断します。

歯ぐきの状態、歯石の付着を確認します。撮影した口腔内の状態を一緒に見ながら、汚れが落とせている箇所や残りやすい箇所をお伝えし、ブラッシングを改善していきます。

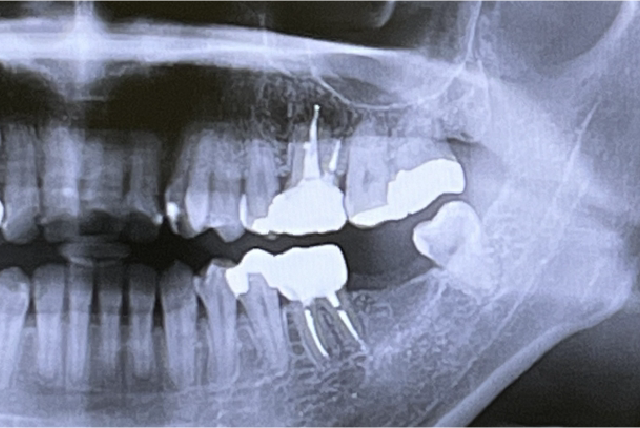
目で見えない部分の歯石の付着や、歯周病によって骨が影響を受けている部分をレントゲン写真により正確に把握することができます。

口腔内スキャナー「iTero」でお口の中をスキャンし、口腔内を3Dデジタル画像で再現します。歯ぐきの状態の変化を視覚的にわかりやすく、確認することが可能です。


歯ブラシやフロスなどの毎日のお手入れをしっかりと行い、定期的に歯科医院に通っているのに歯周病が良くならない、悪化してしまう場合、噛み合わせや歯並びが歯周病を引き起こしている可能性があります。様々な検査によりお口の状態を把握した上で、歯並びに問題があり矯正治療が必要なケースや、詰め物・被せ物が噛み合わせの不具合を招いているケースなど、清掃性の改善、正しい噛み合わせをつくるために必要な治療を検討します。



歯周病が重症化してしまうと、歯の根などに付着している歯垢・歯石を取り除くために歯ぐきを切開する歯周外科治療が必要になります。歯周外科治療のひとつであるフラップ手術では、スケーリング・ルートプレーニングだけでは落としきれない歯周ポケット内部の歯石を取り除きます。必要に応じて、外側に張り出した骨の段差を整えて口腔内の清掃性を向上させるケースもあります。

歯周病とは、歯周病菌という細菌により歯ぐきが炎症し、歯を支えている骨が少しずつ破壊されていく感染症です。
ブラッシングなどで落としきれない汚れなどに含まれる細菌が繁殖し、歯垢や歯石が形成され、歯ぐきの炎症、出血や腫れといった症状が出てきます。進行した歯周病によって歯を支える骨が溶かされ、さらに重症化すると歯を失うリスクがあります。


歯周病は糖尿病や心疾患などの全身疾患とも深い繋がりがあると言われています。歯並びや噛み合わせといった口腔内の不具合だけではなく、喫煙などの生活習慣やホルモンバランスの乱れから、歯周病の進行が早まってしまうケースがあります。歯周病が進行すればするほど、糖尿病や誤嚥性肺炎などのリスクが高まることが知られており、全身の健康寿命を延ばす伸ばすためにも早めの歯周病ケアが大切です。
歯ぐきが赤い・腫れている
歯ぐきが痛い
歯ぐきから血が出る
歯ぐきが下がっている
歯がグラグラする
硬いものが食べられない
1つでも気になる症状がある方は、
歯科医院で検査を受けることをおすすめします
歯垢(プラーク)により、歯ぐきが炎症している状態です。ブラッシングを改善し、歯ぐきの内側の縁下プラークを取り除くことで炎症を抑えます。
歯石が形成され、歯と歯ぐきの間に歯周ポケットと呼ばれる溝ができます。スケーリング・ルートプレーニングにより歯石を除去します。
炎症が進行し、出血や膿などの症状がでることがあります。スケーリング・ルートプレーニングで歯石を除去し、必要に応じて歯周外科治療を行います。
歯を支えている骨がなくなり、歯の根が露出してしまいます。多くの場合、全顎的な歯周外科治療が必要になります。外科的な処置の後は、歯周組織を維持する治療を行います。

歯周病からお口の健康を守るためにはご自宅での日常的なケアと、歯科医院での定期的なプロフェッショナルケアによるダブルケアが欠かせません。歯石が付着している状態では、どれだけブラッシングを頑張っていても汚れを綺麗に落とすことはできません。そのため、早めに歯科医院でプロによる歯周病ケアを受けて、清潔な口腔状態を保てる土台をつくることが大切です。名古屋市千種区の歯医者 やまだ歯科吹上院では、患者様のお口の健康を守り、健康寿命を延ばすサポートを行っています。まずはお気軽にご相談ください。
